Maison Médicale et Paramédicale de Magny les Hameaux
Cabinet Dentaire et D'ODMF du Dr SOTIROPOULOS
1 placette Paul Gauguin, 78114 Magny les Hameaux

+33 6 25 25 14 38

+33 1 30 52 41 71
Maison Médicale et Paramédicale de Magny les Hameaux
Cabinet Dentaire et D'ODMF du Dr SOTIROPOULOS

Blog - Page 9

Frénectomie labiale

Frénectomie labiale

Bloc osseux symphysaire

Bloc osseux symphysaire

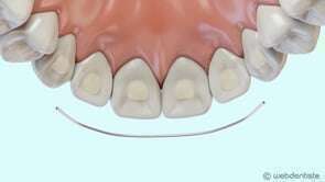
Fil de contention

Fil de contention

Conséquence de la perte des dents postérieures

Conséquence de la perte des dents postérieures

Traitement multi-attaches

Traitement multi-attaches

Appareil herbst

Appareil herbst

Affichage des articles 49-54 sur 212

Création par Webdentiste

Connexion